Skip to main content

Announcement Bar

The analysis you rely on—now easier to find, explore, and connect.
Welcome to PRA and Religion Dispatches’ new website! 

death and dying

Religion Dispatches
Once a major factor in shaping the modern calendar, Easter has fallen in significance, to put it mildly, which is another reason I think it’s tops. I tend to like underdogs and faded glory. I live in Baltimore.
Article
Religion Dispatches
So what is the connection between devouring children and a superabundance of grain?
Article
Religion Dispatches
One sign of success is leaving your mark on society, making an impact; being famous brings you out of the anonymous masses and bestows celebrity, a status that affords you to an afterlife that most will never achieve; individual biographies of lives lived are more compelling than questions of postmortem judgment or the possibility of reincarnation—these lists of the dead convey profound lessons about what counts in life to the living in twenty-first century America. And nothing teaches a profound moral lesson like a corpse.
Article
Religion Dispatches
That nobody wanted bin Laden’s body provides hope that we may finally distinguish between what he and his followers did with what Islam teaches.
Article
Religion Dispatches
It should not go unnoticed that Camping’s followers headed directly to Times Square (rather than Oakland, say) to prepare for the rapture. Times Square stands for ultimate worldliness, the crossroads of capitalism, the epicenter of corporate globalization. Camping’s group intentionally or unintentionally brought an alternative way of telling time and assessing value to the place for which time is money and values are a matter of cross-marketing, re-branding, and logo recognition.
Article
Religion Dispatches
It doesn’t take much to realize the main theme of A Fire in my Belly is death. More specifically, it is the vulnerability, penetrability, and perpetually possible disintegration of the human body. This fleshly mortality became especially real to Wojnarowicz in the still emerging AIDS crisis of the time. Thus, by necessity it is a deeply human and deeply religious artwork. Which does not mean these images are pleasant and easy to look at. No warm and fuzzy pop spirituality this.
Article
Religion Dispatches
Two very different films about what happens after we die are in the theaters right now: Clint Eastwood’s gentle Hereafter and Gaspar Noe’s raw, hallucinatory Enter the Void. While covering the same cosmological territory, the films couldn’t be more different, stylistically, thematically, and religiously.
Article
Religion Dispatches
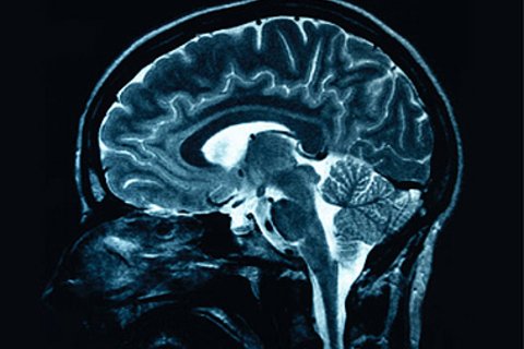
A new study of brain activity in those thought to be in a “vegetative” state blurs the line between life and death.
Article
Religion Dispatches
The funeral of an atheist friend inspires examination of the Here and the Hereafter. Does death rob life of meaning or does it provide it?
Article
Religion Dispatches
So long as the health care battle is focused on the model of market competition—the very notion that health care is best conceived as a for-profit industry—the whole debate is a non-starter. If a meaningful health care reform is to pass, Democrats and liberals will have to return to their social justice roots.
Article